予防歯科・メンテナンス
予防歯科
メンテナンス
当院の予防
〜患者様から来院者様へ〜
こじま歯科医院では、むし歯と歯周病にならない、発生させないことが最も大切だと考えています。
当医院では、まだ予防という考え方があまりなかったころから予防の普及に力を入れ、長い間、フッ素塗布やブラッシング指導などといった「本当の予防」をお伝えし続けてきました。メンテナンスの際には、皆様に歯の汚れがどれくらいついているか染め出しをして見ていただき、可視化しながら歯石・プラーク除去をしています。今では「むし歯ゼロ。ブラッシング指導だけ来院」といった、“患者様”ではなく“来院者様”がどんどん増えています。
なぜ予防?
奥歯の隅の方や歯と歯の間、歯と歯ぐきの間にある溝にあるプラーク(歯垢)は、ご家庭でのブラッシングではなかなか取り除けません。また、そのプラークから作られるバイオフィルム(簡単に言えば、ばい菌のかたまり)は、むし歯や歯周病の大きな原因となり、むし歯や歯周病を予防するには、このバイオフィルムを取り除く必要があります。しかし、残念ながらこのバイオフィルムは、歯ブラシでは取り除くことができません。
つまり、歯科医院に通わずにむし歯や歯周病を予防することは難しいのです。
はじめに、この診療システムを選択される患者様にお口の中の検査を行い、個別に情報提供しています。それから、今までに溜まっていたプラークや歯石を大掃除します。(初期治療)
初期治療の結果、どれくらいお口の中の状態が良くなったのかを調べ(再評価)、状態に合わせ定期的に丁寧にプラークを取り除くメンテナンスをいたします。
むし歯にならない歯を作るために
Strategy
01
むし歯・歯周病予防の基本は
「正しい歯磨き(ブラッシング)」
クリーニングはあくまでも、ブラッシングで落ちなかった汚れを落とすフォロー的なもの。そしてフッ素もきれいに磨けた歯に塗らなければ意味がありません。予防の基本は正しいブラッシングから!一度ご自身のブラッシングの方法を見直してみてはいかがですか?ご相談いただければ、私たちがあなたに合ったブラッシング法をお伝えします。

Strategy
02
フッ素とキシリトールの活用
歯磨き後にフッ素をぬると、歯の質が強化され、エナメル質から溶け出たミネラル成分を補充する再石灰化を促す効果があります。年齢に限らずフッ素を積極的に取り入れていくことによって生涯のむし歯予防にもなります!!
また100%キシリトールのガムやグミを取り入れることで予防効果が高まります。

Strategy
03
シーラントでむし歯対策
シーラントとは、むし歯になりやすい奥歯の溝を埋めて、むし歯菌を防ぐ材料です。歯を強くして、むし歯菌から守るフッ素が入っており、むし歯になりにくい歯をつくります。
シーラントをした後も正しい歯磨きをしっかりと行いましょう!

Strategy
04
定期的なメンテナンスとプロによるクリーニング
PMTCとはProfessional Mechanical Tooth Cleaningの略語で「プロによる歯の清掃」のことです。普段のブラッシングでは落とせない歯の汚れを隅々まで除去します。歯周病治療を受 けられてきた方はもちろん、健康な歯と歯ぐきを維持していきたい方全ての方に必要とされるお口のクリーニングです。仕上げにフッ素を歯の表面に塗り、むし歯菌や歯周病菌から歯と歯ぐきを守ります。

当院の予防歯科診療の流れ
STEP 01

検査説明
お口の中を検査し、個別に情報提供します。
STEP 02

プラークや歯石の除去(初期治療)
今までに溜まっていたプラーク(ネバネバした細菌のかたまり)や歯石(プラークが硬く石灰化したもの)の大掃除をします。
STEP 03

再審査(再評価)
初期治療の結果どれくらいお口の中の状態が良くなったのかを調べ、結果を説明します。
STEP 04

メンテナンス
状態に合わせ定期的に丁寧にプラークを取り除くメインテナンスをいたします。
※むし歯などの治療が必要な場合は、並行して行ってまいります。
メンテナンス
当医院ではあなたのお口の健康に責任を持って維持管理させていただくために、定期検診でのむし歯のチェックとメンテナンスを実施しています。
Check!!
メンテナンスの流れ
問診
口腔内診査と患者様とのコミュニケーションづくりをします。
お口で気になることはお気軽にご相談ください。
染め出し
プラークをお薬で赤く染め出すことにより、口の中の診断します。
きれいに見える歯も…・・赤く染め出すとすごく汚れているのが分かります。
ブラッシング指導
ホームケアの重要性を説明します。
最適なブラッシング方法の説明を定期的に行います。
PMTC
歯科衛生士による機械的な歯面研磨及び細菌(バイオフィルム)の除去を行います。歯の表面がつるつるになり、くすみが取れて汚れがつきにくくなります。
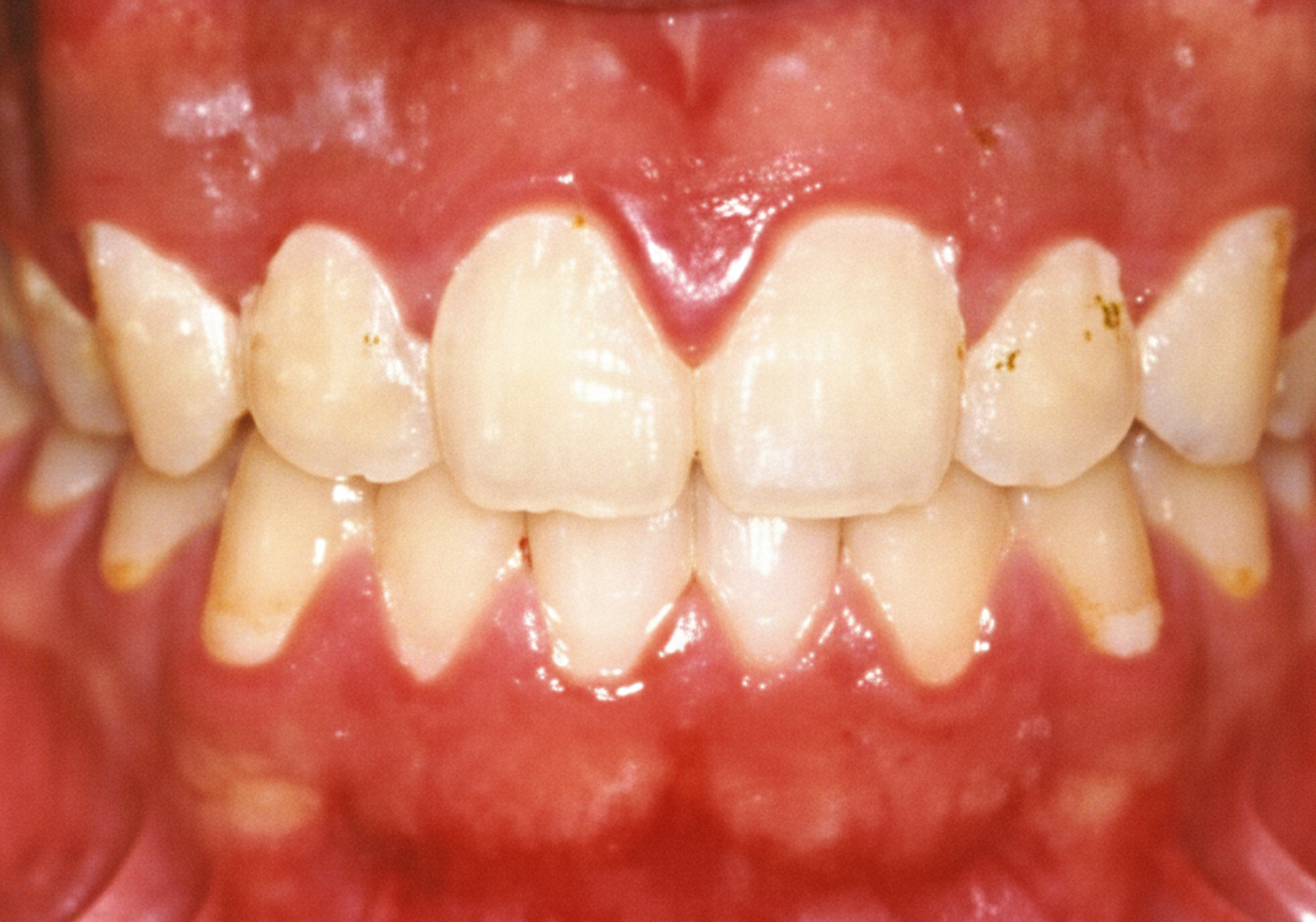
■ 歯みがきで健康な歯と歯ぐき
歯科医院での専門的なクリーニングと、ご自宅での適切なセルフケアを継続することで、健康的なピンク色で引きしまった歯ぐきへと近づきます。

▶︎ 改善前

▶︎ 改善後
※一般的な歯肉改善の例です
■ 歯ブラシ指導
むし歯や歯周病で歯を失うことがほとんどです。当院では、むし歯や歯周病にならない歯をつくることが何より大切だと考えています。
基本は、正しい方法で、歯と歯ぐきのすみずみまでみがくこと。
自分ではきちんとみがいているつもりでも、隅々まで磨けていないことが多いのです。
こじま歯科医院では、虫歯・歯周病予防につながる歯ブラシ方法を患者様にお伝えしています。


