![]()
![]()
当医院ではあなたのお口の健康を責任を持って維持管理させていただくために定期的に虫歯をチェックし、メンテナンスを実施しています。

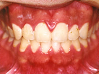
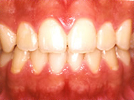
■ 歯みがきで健康な 歯と歯ぐき
歯ぐきが赤くはれ上がっていましたが、きちんと歯みがきすることでピンク色の健康な歯ぐきになりました。

歯ブラシ前![]()

歯ブラシ後
■ 歯ブラシ指導
虫歯や歯周病で歯を失うことがほとんどです。当院では、虫歯や歯周病にならない歯をつくることが何より大切だと考えています。
基本は、正しい方法で、歯と歯ぐきのすみずみまでみがくこと。
自分ではきちんとみがいているつもりでも、隅々まで磨けていないことが多いのです。
こじま歯科医院では、虫歯・歯周病予防につながる歯ブラシ方法を患者様に指導しています。











