むし歯治療・歯周病治療・小児歯科・インプラント・矯正歯科・審美歯科なら熊本市北区武蔵ヶ丘の「こじま歯科」へ



あごの骨に支柱を埋め込み、その上に人工の歯を取り付ける治療法です。
骨に直接、歯の根となる支柱が埋まっているので、噛む力は本物の歯と同等に回復することができます。
ブリッジのように隣の歯を削る必要もありませんし、きちんとした治療とメンテナンスで長期間「自分の歯」としてお使いいただけます。
また、インプラントは取り外し式の入れ歯とは違い、針金がかかる歯に負担をかけることはありません。自分のもともとある歯は健康な状態で保つことができます。


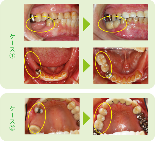
当院のインプラント症例